COLUMN
【LEDフェイシャル・LEDスカルプ】キャンペーン始まります!2月10名限定です^^
ホワイトニングホームケアも充実しております
ライトビューティー本八幡店Q&A
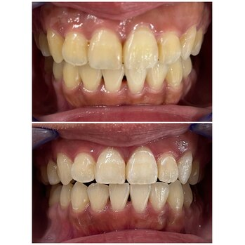
これ以上歯が白くならない・もともとの色だから白くできないと言われた方へ
ホワイトニング業界を変える!3年残るサロンになった理由と他セルフホワイトニングサロンさんが1年くらいで毛移転する理由
ライトビューティー本八幡店のMOVIEができました!
海外のホワイトニングの基準
ホワイトニングについて
【ホワイトニング】ミュータントウェーブ あさひ様 まさ様
歯列矯正のその後と歯への意識
成人式に向けて、セルフホワイトニングを♪
【ホワイトニング】千葉ロッテマリーズ 中村稔弥選手!!
素敵な会員様!!!!!
【ホワイトニング】BLUETHUNDERS 工藤眞輝選手
【ホワイトニング】 優弥道場 目黒翔大選手
ホワイトニングは無料カウンセリングからでも♪
【ホワイトニング】お客様のうれしい口コミです♪
【LEDフェイシャル】がじわじわ人気出ています
セルフホワイトニングについて詳しく知っていきましょう!
【ホワイトニング】BLUE THUNDERS CHEER MAYA様
ホワイトニングのその先に寄り添うサロン
口臭予防にもなると当サロンのセルフホワイトニング!
【ホワイトニング】お客様の嬉しい口コミ^^
【ホワイトニング・LEDフェイシャル】元グラビアアイドル・舞台女優 彼方美紅様♪
【ホワイトニング】俳優・モデル 庄大地様
難しいといわれる犬歯のホワイトニングもご相談ください!
矯正中もOK!セルフホワイトニングで矯正中も清潔感のある口元に♪
ホワイトニングで歯を白くするメリットとは?本八幡のホワイトニング専門家が語る!
プロフェッショナルな技術で理想の白さを実現!ライトビューティー本八幡店のホワイトニングが熱い
店舗撮影をしていただきました^^
【3周年】皆様のおかげです!本当にありがとうございます!!キャンペーン実施中♪
実は大切!ホワイトニングのLEDライトの強さと色の種類
当サロンの他セルフホワイトニングさんとの違い
大切な歯のために、2年後インプラントと言われたオーナーが思うこと
歯が黄色く見える原因と当サロンと歯医者さんホワイトニングの違い
【浦安D-ROCKS】プロラグビー選手石井魁選手
新店舗オープンいたしました!
【合併合同移転のお知らせ】
白い歯は一生白い?ホワイトニング後のメンテナンス
日本人はまだ気づいていない!?歯の資産価値とは?
ホワイトニングは経験豊富なサロン選びを!
歯に全力!白く変わりにくい歯とは?
【口臭対策】本当に正しい歯磨きの方法とは!?口臭を防ぐためには、重要な対策をご紹介!
口臭予防できてますか?効果的と話題の舌クリーナー、当サロンの口臭予防効果について
結局ホワイトニングってどれがいいの?ランキング形式でご紹介します!
みなさんの質問に回答!痛みは?期間は?白くなるの?
冷たいもので歯がしみる私おかしい?歯がしみる原因と対処法についてご紹介します。
「歯周病」って結局なに?基礎知識と予防・治療方法をご紹介!
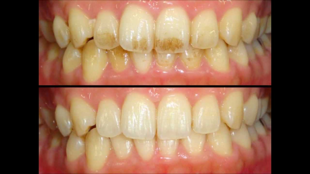
歯にシミができるって知ってた?原因と解決法をご紹介!
セルフホワイトニングは効果がないはもう古い?効果を維持する方法や特徴をご紹介!
セルフホワイトニングと歯科医院の施術の違いは?特徴を教えて!